(+034) 957 42 20 32 cardiolumen@grupocorpal.com
  • Facebook
  • X
  • Instagram
  • RSS
  • Facebook
  • X
  • Instagram
  • RSS
  • Galería
  • Pedir Cita
  • Español
Grupo Corpal
  • Inicio
  • Nuestro Equipo
  • Cartera de servicios
    • Enfermedad Coronaria
      • Angioplastia
        • Coronaria con balón
        • Balón de cuchillas
        • Balón recubierto de drogas
      • Stents
        • Metálicos
        • Medicados
        • Reabsorbibles
      • Aterectomía
      • Trombectomía intracoronaria
    • Cardiopatías congénitas
      • Comunicación Interauricular
      • Comunicación Interventricular
      • Ductus
      • Fistulas
      • Foramen Ovale
      • Estenosis subaórtica
      • Coartación de aorta
      • Válvulas pulmonares
      • Cardiopatías complejas
      • Valvuloplastia
    • Cardiopatías estructurales
      • Valvuloplastia Mitral
      • Prótesis Aórticas
      • Mitraclip
      • Fugas periprotésicas
      • Ablación del septo
      • Trombectomía
      • Cierre de orejuela
    • Arritmias
    • Otras técnicas
      • Complicaciones vasculares y aneurismas aórticos
      • Denervación renal
      • Pericardiocentesis
      • Extracción de cuerpos extraños
    • Pruebas diagnósticas
    • Ergoespirometría
    • Reconocimiento deportivo
    • Riesgo Cardiovascular
    • Muerte Súbita
  • Docencia
  • Investigación
    • Proyectos de investigación
    • Publicaciones
  • Actualidad
    • Noticias
    • Imagen del mes
    • Blog Personal
    • Blog Cardiológico
    • The Evolving Plan
  • Contacto
Seleccionar página
Implante de prótesis CoreValve a paciente con estenosis aórtica severa

Implante de prótesis CoreValve a paciente con estenosis aórtica severa

Blog Cardiológico

por Grupo Corpal | 4 May, 2021 | Blog Cardiológico, Imagen del mes

Implante de prótesis CoreValve a paciente con estenosis aórtica severa   Nuevo implante percutáneo de prótesis CoreValve a paciente con estenosis aórtica severa en el Hospital Cruz Roja de Córdoba Se trata de un...
by Grupo Corpal 4 May, 2021
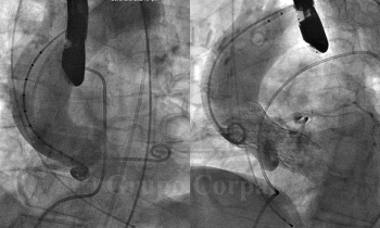
Imágenes antes y después de implante de prótesis aórtica

Imágenes antes y después de implante de prótesis aórtica

Blog Cardiológico

por Grupo Corpal | 21 Nov, 2019 | Blog Cardiológico

Blog Cardiológico   Imágenes angiográficas y ultrasónicas de paciente con estenosis aórtica tras implante de CoreValve Imágenes hemodinámicas y angiográficas antes y después del implante percutáneo de una prótesis...
by Grupo Corpal 21 Nov, 2019
Paciente con Estenosis Aórtica degenerativa y severa

Paciente con Estenosis Aórtica degenerativa y severa

Blog Cardiológico

por Grupo Corpal | 2 Jul, 2018 | Blog Cardiológico, Imagen del mes

Imágenes mes de julio 2018, paciente con Estenosis Aórtica    Se trata de una paciente de 96 años de edad, diagnosticada de Estenosis Aórtica degenerativa y severa, con 2 episodios recientes de Edema Agudo de...
by Grupo Corpal 2 Jul, 2018
Implantación prótesis CoreValve en paciente con estenosis aórtica

Implantación prótesis CoreValve en paciente con estenosis aórtica

Blog Cardiológico

por Grupo Corpal | 11 May, 2018 | Blog Cardiológico

Implantación directa trans-aórtica de prótesis CoreValve en paciente con estenosis aórtica crítica y múltiples comorbilidades Procedimiento híbrido efectuado en el Hospital Cruz Roja de Córdoba.  En nuestro hospital...
by Grupo Corpal 11 May, 2018
Implante percutáneo de válvula aórtica

Implante percutáneo de válvula aórtica

Blog Cardiológico

por Grupo Corpal | 1 Dic, 2017 | Blog Cardiológico, Imagen del mes

CoreValve Cruz Roja Nov/17 Nuevo implante percutáneo de válvula aórtica en Hospital Cruz Roja (@HospitalCRCordoba). Aortografía basal. 2. Inicio del implante. 3. Implante completado. 4. Aortografía...
by Grupo Corpal 1 Dic, 2017
« Entradas más antiguas

Categorías

  • Blog Cardiológico
  • Blog Personal
  • Imagen del mes
  • Noticias
  • Publicaciones
  • Sin categorizar
  • The Evolving Plan

Últimas Publicaciones

    Explosiones larvadas

    Explosiones larvadas

    José Suárez de Lezo Cruz Conde Nov 05, 2025
    Esquejes del alma

    Esquejes del alma

    José Suárez de Lezo Cruz Conde Oct 13, 2025
    La práctica médica y la ciencia de su ejercicio

    La práctica médica y la ciencia de su ejercicio

    José Suárez de Lezo Cruz Conde Jun 20, 2025
    Valoración cardiológica enfocada en el deportista

    Valoración cardiológica enfocada en el deportista

    Grupo Corpal Jun 02, 2025

Hemeroteca

Hablamos de…

ablación Ablación con radiofrecuencia amplatz aneurisma cateterismo cateterismo cardíaco catéter coartación de aorta comunicación interauricular comunicación interventricular corevalve Coronariografía Córdoba dispositivo de Amplatz energía Espíritu Corpal estenosis estenosis aórtica evolución evolución de la tierra evolving plan Fibrilación Auricular futuro imagen implantación válvula implante implante de stent implante mitraclip infarto insuficiencia cardiaca insuficiencia mitral intelecto Miocardiopatía Hipertrófica Obstructiva mitraclip publicaciones Spirit of corpal stent Suárez Suárez de Lezo síndrome coronario agudo Tetralogía de Fallot the evolving plan tiempo válvula aórtica válvula CoreValve
  • Aviso Legal
  • Política de cookies
  • Contacto
  • Facebook
  • X
  • Instagram
  • RSS
Desarrollado por Diseño Web
This website uses your own and third party cookies to enhance your browsing experience. If you continue to browse our website, we consider that you are accepting its use.Accept More information
Cookies

Privacy Overview

This website uses cookies to improve your experience while you navigate through the website. Out of these, the cookies that are categorized as necessary are stored on your browser as they are essential for the working of basic functionalities of the website. We also use third-party cookies that help us analyze and understand how you use this website. These cookies will be stored in your browser only with your consent. You also have the option to opt-out of these cookies. But opting out of some of these cookies may affect your browsing experience.
Necessary
Siempre activado
Necessary cookies are absolutely essential for the website to function properly. This category only includes cookies that ensures basic functionalities and security features of the website. These cookies do not store any personal information.
Non-necessary
Any cookies that may not be particularly necessary for the website to function and is used specifically to collect user personal data via analytics, ads, other embedded contents are termed as non-necessary cookies. It is mandatory to procure user consent prior to running these cookies on your website.
GUARDAR Y ACEPTAR
Cardiólogos - Grupo Corpal
Hola
¿En qué podemos ayudarte?
Cita médica